Quality and affordable dentistry
Our Services
Dental fillings repair cavities and damage, restoring tooth integrity. Using strong, durable materials, they prevent further decay and help you maintain a healthy bite. Fillings are tailored to match the tooth color, blending seamlessly for a natural look.
Orthodontic treatments, including braces and aligners, straighten misaligned teeth and correct bite issues. This not only enhances your smile but also improves oral health by making teeth easier to clean. It’s a lasting investment in a well-aligned, functional smile.
A root canal treats infected tooth pulp to save the natural tooth. This procedure alleviates pain, removes infection, and prevents further damage. It’s a reliable solution to preserve your tooth structure and restore normal function.
Dental implants are permanent replacements for missing teeth, secured in the jawbone. They provide a strong foundation for artificial teeth, matching the look and feel of natural teeth. Implants restore full functionality, making eating and speaking easier.
Pediatric dentistry offers specialized care focused on children's dental needs. With a gentle approach, it addresses growth, preventive care, and cavity prevention. Pediatric dentists aim to create positive experiences, fostering lifelong healthy habits.
Dentures are removable appliances replacing missing teeth, designed for comfort and functionality. They help restore your smile, speech, and ability to chew effectively. Dentures come in full or partial sets, tailored to each patient's needs.
Cosmetic dentistry focuses on enhancing the smile's appearance through various procedures. From veneers to bonding, it creates a visually appealing, bright smile. Cosmetic treatments can boost confidence and improve overall facial aesthetics.
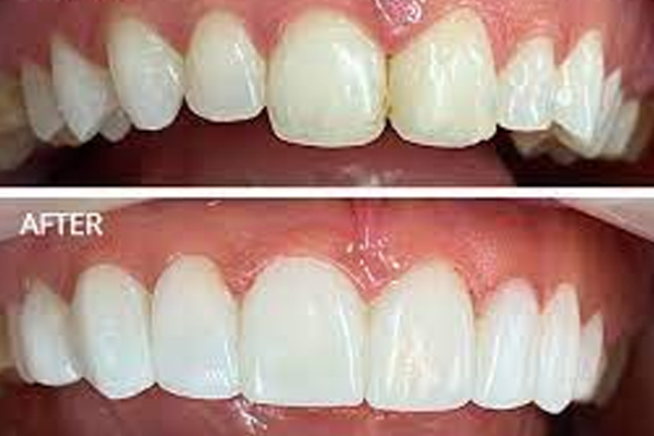
Teeth whitening removes stains and brightens your smile, enhancing confidence. This non-invasive procedure targets discoloration, leaving teeth visibly whiter. Whitening is ideal for anyone looking to improve the overall appearance of their teeth.
Surgical extraction removes damaged or problematic teeth surgically, especially impacted or difficult-to-access teeth. It’s often used for wisdom teeth or broken teeth. This procedure is essential for relieving pain and preventing complications.
Scaling and polishing clean plaque and tartar buildup, refreshing your smile. This preventive care maintains gum health and prevents cavities, leaving teeth smooth and shiny. Regular cleanings are essential for a healthy, bright smile.
Crowns and bridges restore damaged or missing teeth, enhancing functionality. Crowns cover and protect weak teeth, while bridges replace missing ones. These treatments help maintain tooth alignment and restore natural appearance.
Veneers are thin shells that cover teeth to improve aesthetics. Ideal for discolored, chipped, or misaligned teeth, veneers create a flawless look. Laminates blend naturally, enhancing your smile with a long-lasting solution.
Post and core treatments reinforce a tooth after root canal therapy. A post is placed inside the tooth to support a filling or crown. This strengthens the tooth structure, ensuring stability for further restoration.
Dental X-rays provide a detailed view of teeth and bones, aiding diagnosis. They reveal hidden issues like decay, infections, or impacted teeth. X-rays are a crucial tool for planning precise dental treatments.
Bleaching lightens the shade of teeth, brightening your smile. This treatment targets deep stains, creating a radiant, natural look. It’s a quick and effective option for a refreshed, confident appearance.
Gum surgeries treat gum disease and improve gum structure. These procedures can address overgrowth, recession, or infections, restoring health. Healthy gums are vital for maintaining tooth support
TMJ treatments relieve jaw pain and enhance joint function, especially for those with Temporomandibular Joint disorders. Our advanced machinery, including ultrasound and TENS therapy, effectively addresses pain near the ear and radiating facial discomfort.
Laser dental treatment uses advanced cautery machines for precise care on both hard and soft tissue lesions. It minimizes discomfort, speeds up healing, and reduces infection risks. This technology also enables non-invasive biopsies of precancerous lesions, enhancing early detection with faster recovery.
Oral lesion treatments target sores, ulcers, or abnormalities in the mouth, promoting early diagnosis and effective management for optimal oral health. Our advanced care helps prevent infections, ensures patient comfort, and supports overall well-being.
Full mouth rehabilitation restores the function and appearance of the mouth. This comprehensive approach includes various treatments, creating a cohesive smile. It’s ideal for patients needing extensive restorative and cosmetic care.
Composite bonding is useful for fixing small chips or cracks in your teeth. The process involves shaping a tooth-colored resin on the affected area, then hardening it with a special light to blend seamlessly with your natural tooth.




















